Clinical History
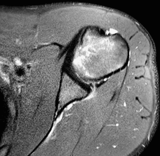
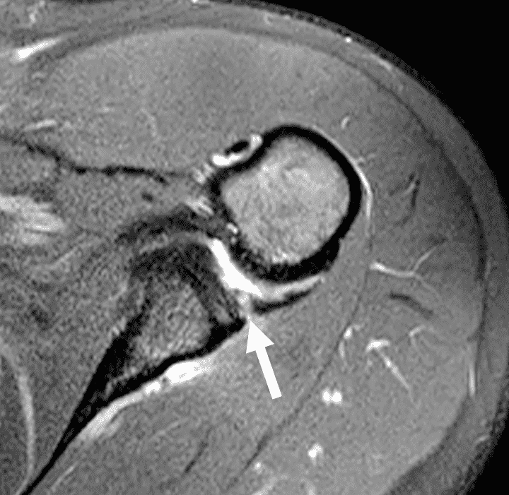
20 year old right-handed hitting college baseball player with left shoulder injury. Fat-suppressed proton-density-weighted axial images at the mid (1A) and inferior (1B) left glenohumeral joint are provided. What are the findings? What is your diagnosis?
Findings
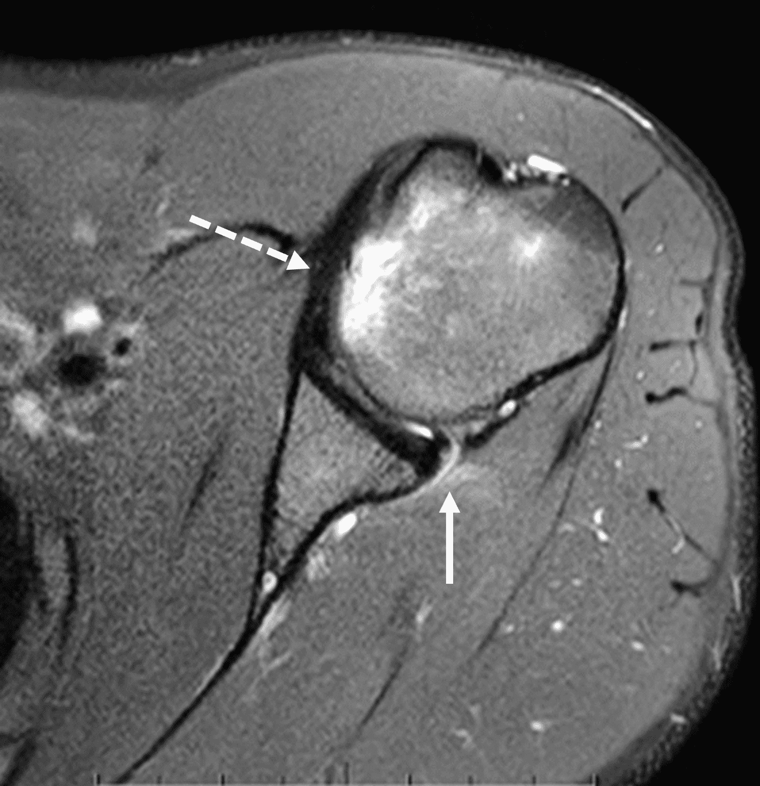
Figure 2: The axial images (2A and 2B) demonstrate findings of a posterior glenohumeral instability injury including posterior to posteroinferior capsulolabral tearing and pericapsular edema (solid arrows) and an anteromedial humeral head impaction injury (dashed arrows).
Diagnosis
Batter’s shoulder (posterior glenohumeral instability).
Introduction
Batter’s shoulder is a form of posterior shoulder instability defined as isolated posterior capsulolabral pathology occurring secondary to the forces acting on a baseball batter’s lead shoulder.1 Shoulder injuries in sports including baseball are common. In baseball, most shoulder injuries are related to throwing, with fewer occurring due to hitting, even in position players (non-pitchers).2 Athletic injuries more commonly result in anterior rather than posterior instability, with posterior instability accounting for 2 – 12% of shoulder instability injuries.3
The baseball swing is a complex set of body movements transferring a large amount of energy from the lower extremities, through the trunk and upper extremities and into the bat. 4,5,6 The four phases of the baseball swing are the wind up, pre-swing, swing, and follow through.7 During the follow-through phase of batting, the lead shoulder experiences a posteriorly directed force of the humerus against the posterior capsulolabral structures because of the extreme forward flexed, adducted and internally rotated position of the shoulder.1
This Web Clinic reviews batter’s shoulder and acute posterior shoulder instability injuries in athletes. A more general discussion of posterior glenohumeral instability can be found here.
Clinical Presentation
Batter’s shoulder commonly occurs as a single acute event where the hitter experiences a feeling of instability and sharp posterior pain in the lead/front shoulder during a swing.1,8,9 Pain is most severe during the follow through phase of the swing, particularly when swinging and missing and/or when trying to hit outside pitches. One hypothesis is that with a swing-and-a-miss, the lack of counterforce usually created by the bat hitting the ball results in an increased adduction angle of the shoulder, which in turn increases the shear forces across the posterior shoulder, damaging the posterior capsulolabral structures.1
With a thorough clinical history, players commonly will point to a specific swing that resulted in acute pain or will be able to say that a specific type of swing results in pain.9,10 Physical examination findings include a positive posterior load and shift test demonstrating laxity with an applied force, positive Kim and shoulder jerk tests, and sometimes a positive O’Brien’s test. Posterior joint tenderness is also common.
Imaging Findings
Radiographs are commonly normal but should be used as an initial evaluation. Findings that occasionally can be seen include an anteromedial humeral head impaction fracture (reverse Hill-Sachs injury), a posterior glenoid avulsion fracture, and glenoid dysplasia and/or retroversion.
MRI and MRI arthrogram are the best imaging tests to evaluate the posterior glenohumeral structures. Findings of batter’s shoulder include a posterior glenoid labrum tear without labral detachment (Kim lesion), a posterior glenoid labrum tear with labral detachment, intrasubstance posterior glenoid labrum tearing, posterior capsular injury, reverse Hill Sachs injury of the anteromedial humeral head, glenoid hypoplasia/dysplasia, and associated chondral injuries (Figures 3 – 5).
CT scans are not typically obtained but can be helpful to further evaluate the findings of anteromedial humeral head reverse Hill-Sachs fracture, glenoid fracture and glenoid hypoplasia/retroversion.
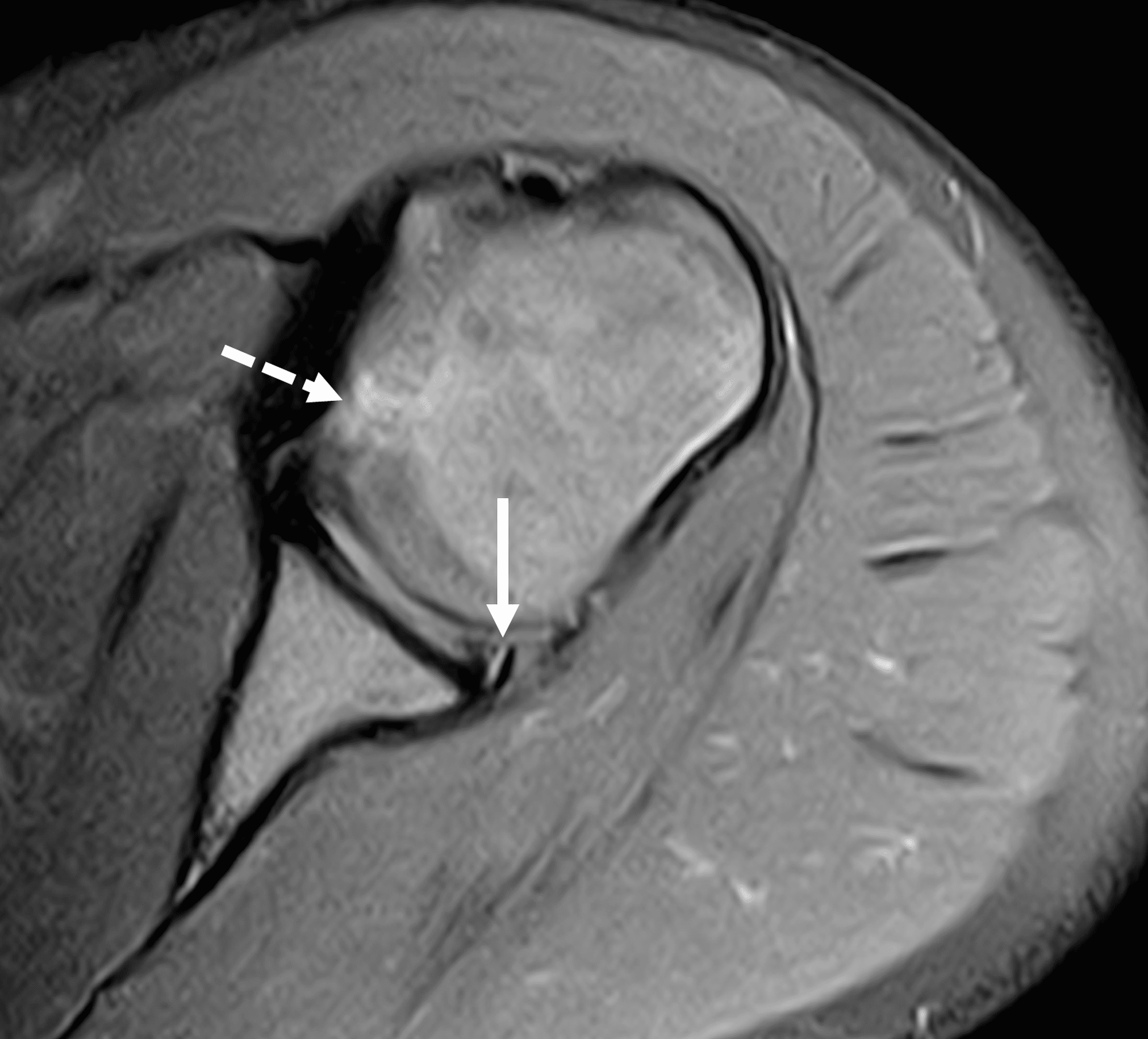
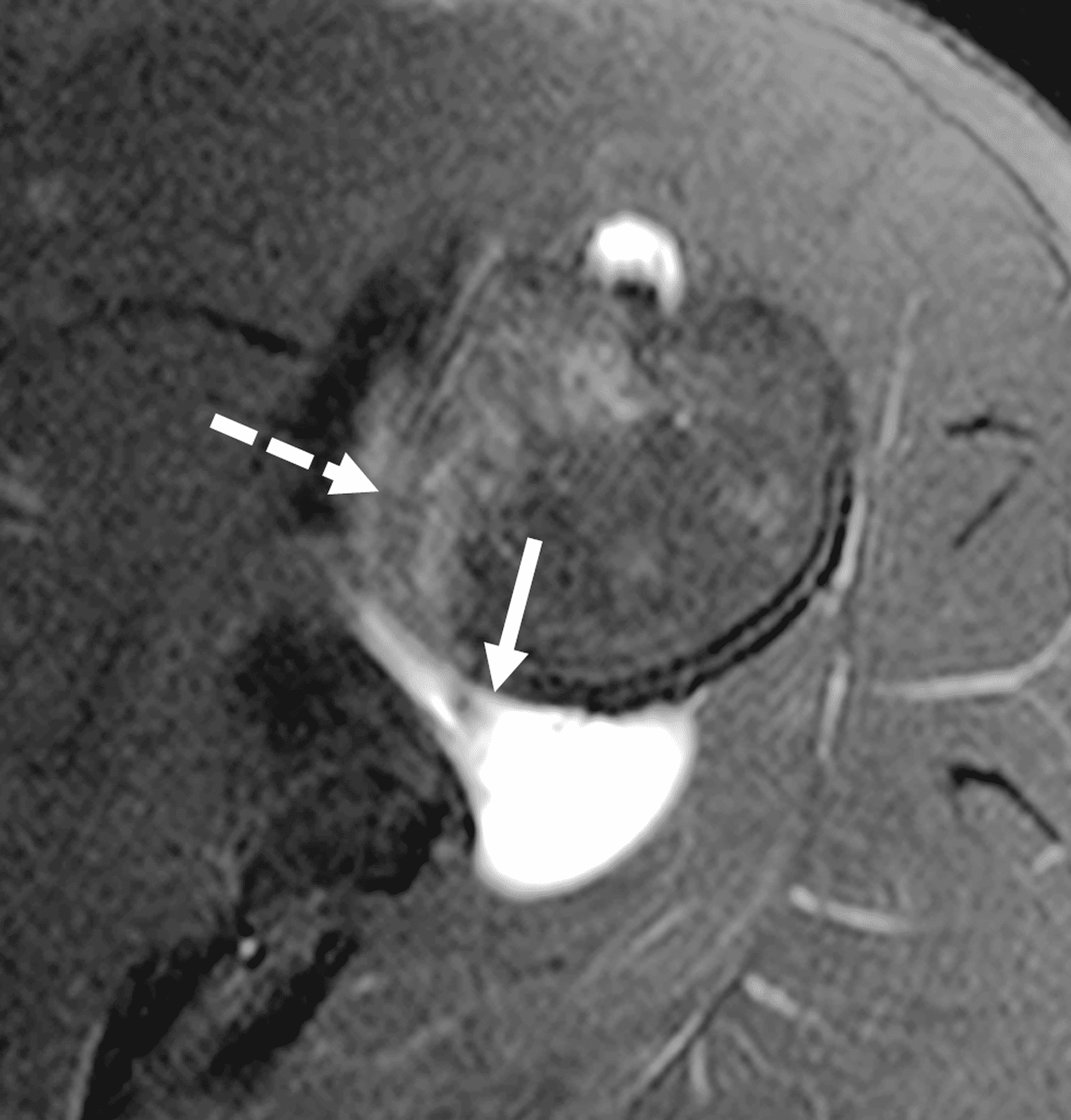
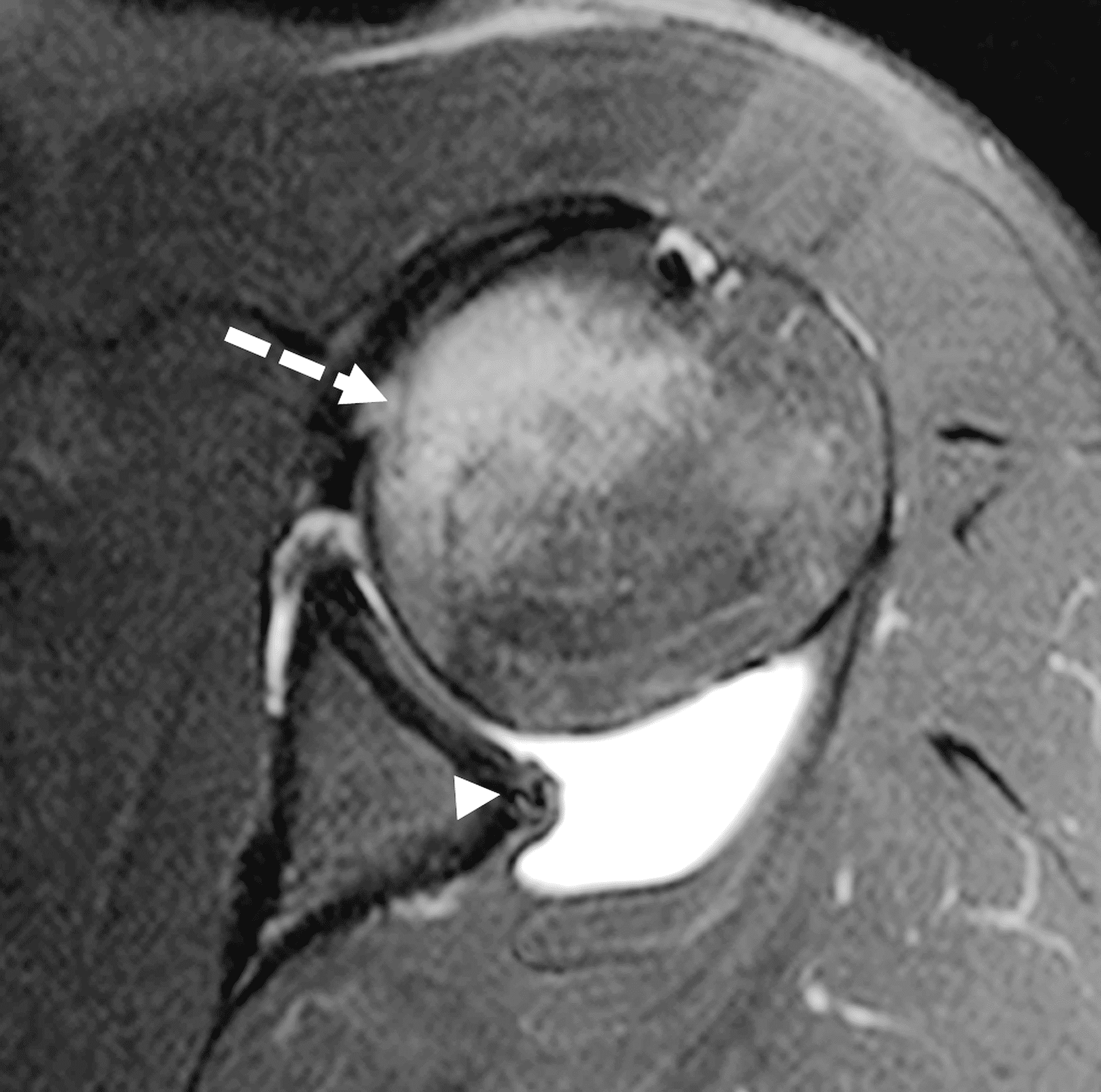
Figure 3: 18 year-old-female college softball player with acute left shoulder batting injury. (3A and 3B) Axial fat-suppressed proton-density-weighted images show a nondisplaced intrasubstance posteroinferior labral tear (solid arrows) and anteromedial humeral head impaction fracture with mild underlying marrow edema (dashed arrows).
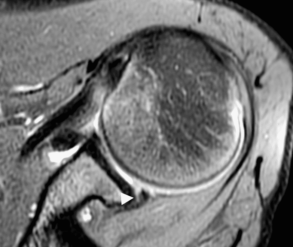
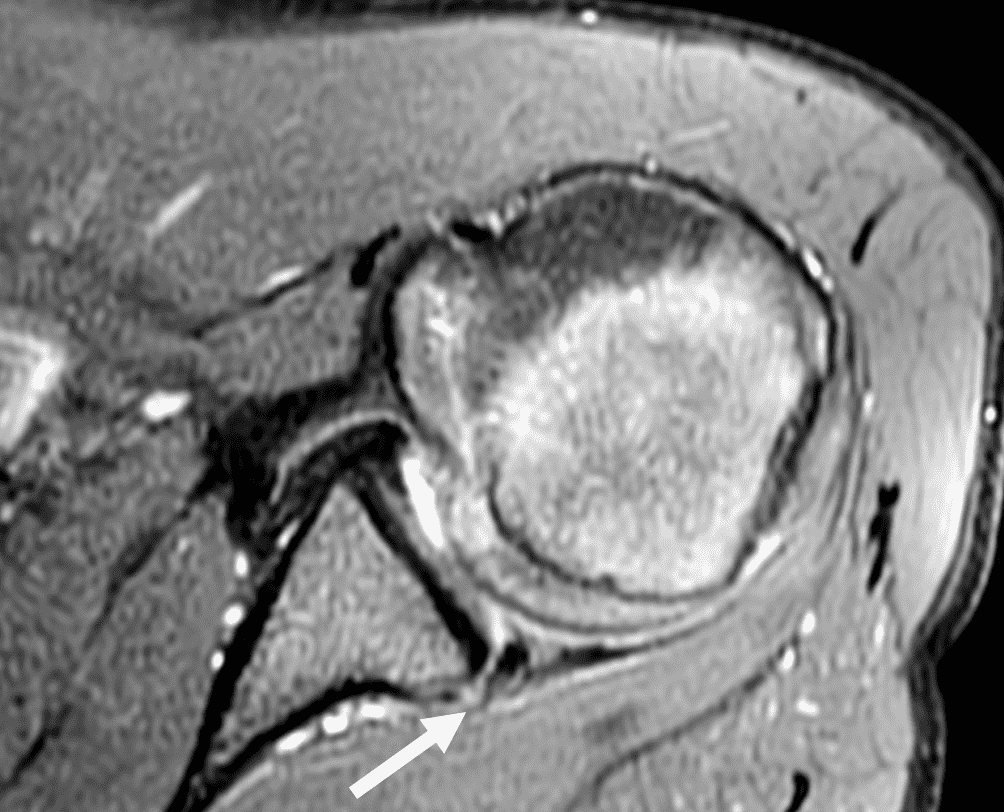
Figure 4: MR arthrogram in a 17-year-old male high school baseball player with acute left shoulder batting injury. (4A) Oblique coronal fat-suppressed T2-weighted image reveals a displaced posteroinferior labral flap (arrow). (4B) Axial fat-suppressed T2-weighted image through the inferior joint confirms the displaced labral flap (solid arrow) and shows a mild anteromedial humeral head impaction injury (dashed arrow). (4C) An axial image more cranially shows ill-defined posteroinferior labral tearing (arrowhead) and marrow edema in the anteromedial humeral head due to the impaction injury (dashed arrow).
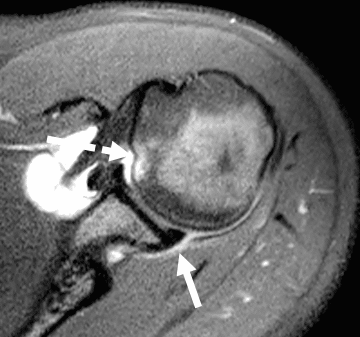
Figure 5: 16-year-old male high school baseball player with acute left shoulder batting injury. (5A – 5C) Axial T2-weighted fat-suppressed images demonstrate findings of posterior instability injury including a nondisplaced posterior chondrolabral junction tear (Kim-type lesion, arrowhead), complete posteroinferior chondrolabral junction and capsular tearing (solid arrows), and anteromedial humeral head impaction fracture (dashed arrow).
Posterior glenohumeral instability in other sports
As stated earlier, sports injuries resulting in posterior glenohumeral instability are much less common than those producing anterior instability. However, posterior injuries do occur in many sports. Injuries similar to batter’s shoulder have been described in golfers’ lead shoulders, occurring at the top of the backswing (Figure 6).11,12 2.9% of shoulder instability injuries in basketball players in a single study were posterior instability injuries (Figure 7).13 Approximately 4% of shoulder injuries reported in National Collegiate Athletic Association football players are associated with posterior instability, occurring most commonly in offensive and defensive linemen (Figure 8).14,15,16
Figure 6: 24-year-old female with shoulder injury from golf swing. (6A and 6B) Axial T2-weighted fat suppressed images show tears at the posterior (solid arrow, 6A) and posteroinferior (solid arrow, 6B) capsulolabral junction, and an anteromedial humeral head impaction fracture (dashed arrow, 6A).
Figure 7: 20-year-old college basketball player injured during March Madness game. (7A – 7C) Axial fat-suppressed T2-weighted images show an anteromedial humeral head bone contusion (dashed arrow, 7A), posterior pericapsular edema (arrow, 7B), posterior glenoid chondral fracture (arrowhead, 7B), and posteroinferior pericapsular edema and labral tearing (arrow, 7C). (7D) Oblique sagittal T2-weighted image shows a loose chondral fragment in the subscapularis recess (arrow) and glenoid chondral defect (arrowhead).
Figure 8: Shoulder MR arthrogram of an NFL lineman injured during football game. (8A and 8B) Axial fat-suppressed T2-weighted images show an anteromedial humeral head bone contusion (dashed arrow, 8B), posteroinferior capsulolabral tearing (arrowheads) and arthrographic fluid extending through a posterior capsular defect (solid arrow). (8C) Oblique sagittal fat-suppressed T2-weighted image confirms the contrast extravasating through the posterior capsular defect between the infraspinatus and teres minor muscles (arrow).
Management
Conservative management is the initial treatment for batter’s shoulder, and includes resting from aggravating activities like hitting, combined with physical therapy. Additionally, press-type activities in which the shoulder is placed into an adducted, flexed and internally rotated position such as bench pressing should be avoided.
After the initial non-operative course, surgical management is indicated in the following circumstances: inability to return to play at the preinjury level; failure to respond to conservative treatment including cessation of batting and physical therapy; evidence of posterior instability on examination; and imaging evidence of posterior capsulolabral pathology. Contraindications for surgery include multidirectional instability, habitual or voluntary subluxation, or osseous abnormalities.17
Surgical management consists of arthroscopic posterior capsulolabral repair when there is a displaced or detached tear, or debridement when there is a non-detached free edge labral tear. Most athletes treated surgically can return to play at their preinjury level.17,18,19 In the largest series of 14 baseball players, 10 underwent posterior labral repair, two debridement and two nonsurgical treatment after a trial of 3 months of nonsurgical conservative treatment. Of the 12 players treated operatively, only one was unable to return to play and that individual had associated chondral injury. The average return to play time was 6.5 months in this study.17
Conclusion
Sports-related posterior shoulder instability lesions are less common compared to anterior instability lesions but do occur in the lead shoulder in baseball hitters and golfers, American football linemen, and occasionally in other sports. When a batter or golfer reports posterior pain in the lead shoulder, close attention should be made to the posterior capsulolabral structures on MRI.
References
- Philips BBAJ, Andrews J, Fleisig GS: Batter’s Shoulder: Posterior Instability of the Lead Shoulder, A Biomechanical Evaluation. Birmingham, AL, USA, Alabama Sports Medicine and Orthopaedic Center, 2000. ↩
- Marigi EM, Conte S, Reinholz AK, et al. Shoulder Injuries in Professional Baseball Batters: Analysis of 3,414 Injuries Over an 8-Year Period. Arthrosc Sports Med Rehabil. 2022;4(3):e1119-e1126. doi: 10.1016/j.asmr.2022.03.012. eCollection 2022 Jun. ↩
- Antoniou J, Harryman DT 2nd. Posterior Instability. Orthop Clin North Am. 2001;32(3):463-73, ix. doi: 10.1016/s0030-5898(05)70215-7. ↩
- Welch CM, Banks SA, Cook FF, Draovitch P. Hitting a baseball: a biomechanical description J Orthop Sports Phys Ther. 1995;22(5):193-201. doi: 10.2519/jospt.1995.22.5.193. ↩
- Monti R. Return to hitting: an interval hitting progression and overview of hitting mechanics following Injury. Int J Sports Phys Ther. 2015;10(7):1059-73. ↩
- Shaffer B, Jobe FW, Pink M, Perry J. Baseball batting. An electromyographic study. Clin Orthop Relat Res. 1993;(292):285-93. ↩
- Kang RW, Mahony GT, Harris TC, Dines JS. Posterior instability caused by batter’s shoulder. Clin Sports Med. 2013;32(4):797-802. doi: 10.1016/j.csm.2013.07.012. ↩
- Carbone A, Limpisvasti O. Understanding Batter’s Shoulder: Diagnosis, Treatment and Outcomes. Curr Rev Musculoskelet Med. 2022;15(6):547-551. doi: 10.1007/s12178-022-09795-y. ↩
- Dugas JR. The Batter’s shoulder. In: Dines JM, Altchek DW, Andrews J, ElAttrache NS, Wilk KE, Yocum LA, eds. Sports medicine of baseball. 1st ed. Philadelphia, PA: Lippincott Williams & Wilkins; 2012. pp. 15–9. ↩
- Fury MS, Moore LK, DeSena TD, Camp CL, Dines JS. Evaluation, Treatment, and Outcomes of Batter’s Shoulder. Curr Rev Musculoskelet Med. 2023;16(2):60-65. doi: 10.1007/s12178-022-09815-x. ↩
- Faustin CM, El Rassi G, Toulson CE, Lin SK, McFarland EG. Isolated Posterior Labrum Tear in a Golfer. A case report. Am J Sports Med. 2007;35(2):312-5. doi: 10.1177/0363546506293262. ↩
- Hovis WD, Dean MT, Mallon WJ, Hawking RJ. Posterior Instability of the Shoulder with Secondary Impingement in Elite Golfers. Am J Sports Med. 2002;30(6):886-90. doi: 10.1177/03635465020300062101. ↩
- Wagstrom E, Raynor B, Jani S, et al. Epidemiology of Glenohumeral Instability Related to Sporting Activities using the FEDS (Frequency, Etiology, Direction, and Severity) Classification System: A multicenter Analysis. Orthop J Sports Med. 2019;31;7(7):2325967119861038. doi: 10.1177/2325967119861038. eCollection 2019 Jul. ↩
- Kaplan LD, Flanigan DC, Norwig J, Jost P, Bradley J. Prevalence and variance of shoulder injuries in elite collegiate football players. Am J Sports Med. 2005;33(8):1142-6. doi: 10.1177/0363546505274718. ↩
- Mannava S, Frangiamore SJ, Murphy CP, et al. Prevalence of shoulder labral injury in collegiate football players at the National Football League scouting combine. Orthop J Sports Med. 2018;6(7):2325967118783982. doi: 10.1177/2325967118783982. eCollection 2018 Jul. ↩
- Tennent DJ, Slaven SE, Slabaugh MA, et al. Recurrent Instability and Surgery Are Common After Nonoperative Treatment of Posterior Glenohumeral Instability in NCAA Division I FBS Football Players. Clin Orthop Relat Res. 2021;479(4):694-700. doi: 10.1097/CORR.0000000000001471. ↩
- Wanich T, Dines J, Dines D, Gambardella RA, Yocum LA. ‘Batter’s Shoulder’: Can Athletes Return to Play at the Same Level After Operative Treatment? Clin Orthop Relat Res. 2012;470(6):1565-70. doi: 10.1007/s11999-012-2264-0. ↩
- Cohen JL, Harrah TC, Rizzo MG, Jose J, Kaplan LD. Acute Batter’s Shoulder with Concomitant Superior Labrum form Anterior to Posterior Injury in a Collegiate Baseball Player. J Am Acad Orthop Surg Glob Res Rev. 2023;7(12):e23.00057. doi: 10.5435/JAAOSGlobal-D-23-00057. eCollection 2023 Dec 1. ↩
- Okeefe KJ, Haupt E, Thomas WC, et al. Batter’s Shoulder: Clinical Outcomes and Return to Sport. Cureus 2020;12(4):e7681. doi:10.7759/cureus.7681. ↩






















