Our monthly MRI Web Clinics provide valuable insights into how MR images play a crucial role in diagnosis. With a wealth of annotated images, including 3D visuals and interactive media, our Web Clinics offer an exceptional educational experience that is beneficial for medical professionals at all levels of expertise.
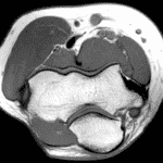
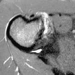
In this month’s Radsource MRI Web Clinic, Dr. Meera K. Namireddy and her colleagues Brady Huang, Eddie Smitaman, and Don Resnick address the multiple imaging manifestations of musculoskeletal conditions related to an important category of crystal deposition.
Work with the top experts in MSK and Neuro MRI. Enjoy unbeatable support and excellent work-life balance, while elevating your career alongside the best in the field.
In this month's Radsource MRI Web Clinic, Dr. Neil Kennedy highlights the MRI and clinical features of a specific meniscal lesion seen in knees with torn anterior cruciate ligaments. These "ramp lesions" have important implications for subsequent knee stability.
Interpreting MRI studies performed after surgical procedures can be challenging. In this month's Radsource MRI Web Clinic, Dr. David A. Rubin describes common procedures that attempt to restore damaged articular cartilage in the knee, together with the expected and abnormal post-operative imaging findings.
In the first Radsource Web Clinic of 2026, Dr. Ryan Schmidt describes an often overlooked cause of knee arthritis, and discusses MRI imaging findings that are clues to distinguishing the disease from other similar disorders.
In the final Radsource MRI Clinic of the year, Dr. Willis Huang discusses capsular and ligament lesions in the shoulder that can be associated with shoulder dislocations and throwing injuries. Radiologists should be familiar with these disorders in addition to the more common labral and glenoid abnormalities.
In this month's Radsource MRI Web Clinic, Dr. Jonathan Kraas and Dr. Tomas Marek provide an in-depth discussion of an ankle injury that is becoming more prevalent, emphasizing how MRI findings are used to help guide clinician's decisions regarding optimal treatment.
In this month's Radsource MRI Web Clinic, Dr. Camilo Borrero provides an update on a chest wall injury associated with weightlifting, emphasizing recent discoveries concerning the relevant anatomy, imaging findings, and clinical considerations.
In this month's Radsource Web Clinic, Dr. Katharine Tansavatdi presents an unusual cause of cervical myelopathy that typically affects young men, and which has characteristic MRI findings.
In this month's Radsource Web Clinic Dr. Derek Stensby describes the "comma sign" and provides practical advice for diagnosing subscapularis tendon tears on shoulder MRI, which are often challenging in clinical practice.
In this month's Radsource MRI Web Clinic, Dr. Violeta Nikac reviews the imaging appearances of a variety of diffuse and focal processes that involve the synovium, covering both common and unusual entities.
This month's Radsource MRI Web Clinic features a discussion by Dr. David Rubin, who addresses a relatively common peripheral nerve abnormality in the elbow.
In this month's Radsource MRI Web Clinic Dr. Travis Hillen discusses a shoulder athletic injury related to swinging a baseball bat and similar activities.
In this month's Radsource MRI Web Clinic, Dr. Jason Stephenson discusses distal clavicular osteolysis, an overuse syndrome affecting the shoulder in athletes and active individuals.