Clinical History: A 68-year-old female presents with radial-sided pain and swelling. Axial T1-weighted (1A), axial fat-suppressed proton density-weighted (1B), and coronal fat-suppressed proton density-weighted (1C) images are provided. What are the findings? What is your diagnosis?
Findings
Figure 2: The axial T1-weighted (2A), axial fat-suppressed proton density-weighted (2B), and coronal fat-suppressed proton density-weighted (2C) images demonstrate a thickened extensor retinaculum, surrounding soft tissue edema, and fluid signal in the first extensor compartment of the wrist (arrowheads). Marrow edema is noted within the subjacent radius (asterisks). A single extensor pollicis brevis and two abductor pollicis longus tendon slips are present with heterogeneous intrinsic signal.
Diagnosis
De Quervain’s Tenosynovitis.
Introduction
Radial-sided wrist pain is a common clinical presentation often caused by de Quervain’s tenosynovitis (DQT). Inflammation of the abductor pollicis longus (APL) and extensor pollicis brevis (EPB) tendons in the first extensor compartment of the wrist leads to painful restriction in the movement of the thumb. While the diagnosis of DQT is usually made based on physical exam findings, ultrasound and MRI are helpful tools in planning appropriate treatment and identifying other diagnoses that can mimic the clinical presentation of DQT.
Anatomy and Pathophysiology
The APL and EPB muscles arise in the extensor compartment in the mid-forearm and are innervated by the posterior interosseous nerve. The APL arises more proximally from the posterior ulna, interosseous membrane, and radius, and the EPB arises immediately distal to the APL from the radius and interosseous membrane. The distal muscles and tendons lie parallel and extend obliquely across the extensor carpi radialis longus (ECRB) and brevis (ECRL)tendons. The APL and EPB tendons run through the first extensor retinacular compartment (Figure 3), a fibro-osseous synovial compartment measuring approximately 16 mm in length and formed by the extensor retinaculum which is bound by two septa to the lateral distal radius.1 The floor of the compartment is formed by the inserting brachioradialis tendon and the distal radius, which demonstrates a groove accommodating the tendons.2 Both tendons are enveloped in their synovial sheaths, which arise at approximately 21 mm proximal to the extensor retinaculum. The tendon sheath of the EPB is longer, extending beyond the thumb CMC joint.1
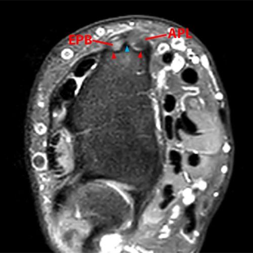
Fig 3: Axial rendering at the level of Lister’s tubercle demonstrates the 6 extensor compartments and their contents. The extensor pollicis brevis (EPB) and the abductor pollicis longus (APL) traverse the first compartment. Frequently the APL has multiple slips with 2 tendon slips being most common. The inset image demonstrates the presence of a septum (blue arrowheads) dividing the first extensor compartment. Additional labeled tendons are extensor carpi ulnaris (ECU), extensor digiti minimi (EDM), extensor digitorum communis (EDC), extensor indicis proprius (EIP), extensor carpi radialis brevis (ECRB) and extensor carpi radialis longus (ECRL).
Anatomical variations in the first extensor compartment are considered by many to be a contributing factor to the development of DQT and can affect treatment approaches and outcomes.3,4,5,6 Commonly, the APL and EPB pass through the first extensor compartment in separate tunnels divided by a fibrous septum (Figure 3), which can be partial or complete and is reportedly present in up to 79.4% of all patients and up to 89% in patients with DQT.7 Very rarely, an osseous septum may be present. This subcompartmentalization is felt to further constrict the space available for the tendons, resulting in an increased likelihood of friction and inflammation. The presence of a septum is so prevalent that a subcompartmentalized first extensor compartment should be an expected anatomical finding.7 Failure to identify a septum can result in inadequate corticosteroid injection and decompression of the first extensor compartment at surgery.
The conventional depiction of the first extensor compartment in many anatomy texts is a single EPB and a single APL tendon. The most common pattern of first compartment tendons is 1 EPB and 2 APL tendon slips.8 The APL displays significant variation in the number of tendinous slips, typically ranging from 1 to 5 (Figure 4), with up to 14 slips reported.9 These should not be confused with tears, as slips are typically more rounded in cross-section, and tears appear as more linear defects interrupting the rounded cross-sectional contour. Accessory tendon slips can arise from the APL tendon distal to the first extensor compartment at the level of the radiocarpal joint. Accessory tendon slips can also arise from the APL muscle and are visualized as a separate tendon extending through the first extensor compartment. The APL most frequently inserts at the first metacarpal base or shaft followed in decreasing frequency by the trapezium, the abductor pollicis brevis muscle and tendon, the opponens pollicis muscle, and thenar fascia (Figure 5).2,3,5 The role that multiple slips play in the development of DQT is controversial. Many surgeons believe that additional slips can crowd the compartment, contributing to stenosis and tenosynovitis.10,11,12 Yet other authors found that DQT wrists had a higher incidence of a single APL tendon than normal cadavers, raising speculation that the insertion site(s) of the APL tendon may be more critical than the multiplicity of the tendon slips in the development of DQT.10,13 The EPB most commonly has a single tendon with multiple tendon slips seen with a frequency of approximately 6%3. The EPB is completely absent in 3.3%.14 The EPB most often attaches at the base of the proximal phalanx with alternative or additional insertions, including the extensor pollicis longus tendon (EPL), the extensor hood, the base of the distal phalanx, and the first metacarpal.2,3
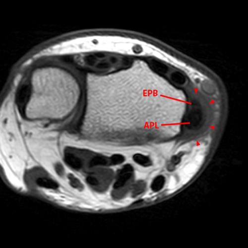
Figure 4: Axial fat-suppressed proton density-weighted images distal to the first extensor compartment in different patients. (4A) The MRI was performed for ulnar-sided wrist pain. The image reveals three separate slips of the APL and a single EPB tendon. (4B) The MRI was performed to evaluate de Quervain’s tenosynovitis. Four APL tendon slips with intrinsic increased signal are slightly splayed by surrounding tenosynovitis. The EPB is relatively unaffected by tenosynovitis.
Figure 5. Axial fat-suppressed proton density-weighted image and contiguous sagittal T2-weighted images at the radial side of the wrist moving from ulnar (left) to radial (right) in the same patient as Figures 1 and 2. The EPB is small, which is a common variant. The APL has two slips with a larger main APL (APL 1) and a smaller accessory tendon (APL 2), although the initial interpretation was a tear. Useful clues in differentiating a tear from adjacent tendon slips are the length of the division, with slips tending to extend over a longer segment than tears, and identifying the distal insertions, which are often separate from the main APL tendon insertion. Here, the separate slip (APL 2) can be identified on the sagittal images proximal to the first extensor compartment and followed distally to insert on the abductor pollicis brevis muscle (APB).
DQT is the second most common stenosing tenosynovitis of the wrist and hand, with inflammation and thickening of the tendon sheath leading to increased friction and restricted gliding of the APL and EPL tendons within the relatively nonelastic first extensor compartment.2 While the exact pathophysiology of DQT remains a subject of ongoing research, the two leading theories revolve around inflammatory and degenerative etiologies. Proponents of a degenerative etiology argue that DQT is primarily characterized by histopathological findings of myxoid and degenerative changes in the tendon sheath, tendons, and surrounding tissues rather than a purely inflammatory condition.15,16,17 Repetitive use may contribute to wear and tear of the tendons, leading to microtears and fibrosis, which further thickens the tendon sheath and restricts tendon movement. The inflammatory theory suggests that repetitive hand and wrist movements lead to friction and microtrauma of the tendons within the first dorsal compartment, triggering an inflammatory response. This inflammation causes the synovial sheath to thicken, further constricting the space within the compartment and impairing tendon gliding. Supporting this theory, studies have found elevated levels of inflammatory markers in patients with DQT, corresponding to the severity of symptoms.18,19 An inflammatory-mediated pathway also has been suggested in women, with increased estrogen-B receptors correlating with increased COX-2 expression in DQT patients with more severe symptoms.19
Risk Factors
Women are over 2.5 times more likely to be diagnosed with DQT, and it is most prevalent in women between 30 and 50 years of age.19,20 DQT is particularly common in pregnant and postpartum women, which may be due to hormonal changes, fluid retention, or changes in hand use patterns associated with infant care.21,22 A direct causal link between specific occupations and DQT has been called into question.14,23 Nevertheless, repetitive or forceful hand movements are generally considered a contributing risk factor.17,24 A higher incidence of DQT is reported among individuals with occupations or hobbies requiring repetitive hand and wrist movement, such as musicians, golfers, tennis players, typists, knitters, and manual laborers.15,17,24 More recently, DQT has been diagnosed in a younger population associated with repetitive texting.25 Certain medical conditions, such as rheumatoid arthritis, diabetes mellitus, and hypothyroidism, have been associated with an increased risk of DQT. This may be related to underlying inflammatory processes or systemic factors affecting tendon health.17,24
Clinical Features
De Quervain’s tenosynovitis is often diagnosed based on physical examination findings, but the clinical features can be subtle and nonspecific. Pain over the radial styloid process is the most common presenting symptom and may be aching or sharp. It can radiate up the forearm or down into the thumb and worsen with thumb and wrist movements, particularly gripping, pinching, lifting, and ulnar deviation of the wrist. Swelling over the radial styloid process may be present, and crepitus may be felt with the movement of the tendons.
Finkelstein’s test and Eichoff’s maneuver are mainstays in the clinical diagnosis of DQT. In Finkelstein’s test, the thumb is grasped firmly and pulled longitudinally and ulnarly by the examiner, with the forearm held in a resting position. Eichoff’s maneuver (commonly mistaken as Finkelstein’s test) is performed by having the patient flex the fingers over the thumb with passive ulnar deviation of the wrist.6 The wrist hyperflexion and abduction of the thumb test (WHAT) has recently been proposed as a more sensitive and specific maneuver with better positive and negative predictive value for DQT.26 In the WHAT maneuver, the wrist is actively flexed, and the thumb is extended against resistance applied by the examiner. Pain exacerbation over the first dorsal compartment is a positive test in all these physical exam maneuvers. However, these tests are not always positive, and a negative test does not rule out the diagnosis.27
Imaging Findings
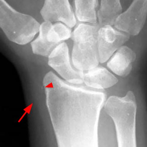
Radiography: Radiographs are not the primary imaging modality for diagnosing DQT, but they can suggest chronic inflammation in the first dorsal compartment by revealing focal cortical erosion, sclerosis, or periosteal bone apposition of the radial styloid sheath, along with overlying soft tissue swelling (Figure 6).28 These findings, though nonspecific, may support a clinical diagnosis of DQT. However, the absence of these findings on radiographs does not rule out the condition.
Figure 6: A 53-year-old female with radial-sided wrist pain for 4 months. A postero-anterior wrist radiograph demonstrates plain film changes of de Quervain's tenosynovitis. The radial styloid demonstrates subtle periosteal bony apposition (arrowhead), and adjacent soft tissue swelling is evident (arrow). Axial fat-suppressed proton-density image from the same patient demonstrates peritendinous edema (blue arrowhead), mild tendon enlargement (arrow), and reactive marrow edema of the radius (red arrowheads).
Ultrasound: Ultrasound is considered the most valuable imaging tool for DQT, but its utility is user dependent. In addition to its cost-effectiveness, ultrasound allows real-time visualization of the tendons during movement, which can help assess tendon gliding and identify any snapping or catching. Its ability to identify septations and tendon slips is well established.5,29,30 Ultrasound findings of tenosynovitis include increased hypo- or anechoic fluid within the sheath, thickening of the synovium, and hyperemia, which can be present on color Doppler images.26,31 The appearance of multiple tendon slips on short-axis imaging has been characterized as the “lotus root” appearance because of the similarity to the appearance of a sliced lotus root.32 Ultrasound is effective at identifying subcompartmentalization through direct visualization of the septum as an echogenic structure extending from the extensor retinaculum to the radius (anisotropy may cause the septum to appear hypoechoic) and also by the separation of the EPB and APL tendons on short axis views (Figure 7). In contrast, the EPB and APL may appear as one tendon in the absence of a septum.5 Indirect signs of a septum include an osseous ridge and a double-groove floor, which are seen on short-axis imaging of the first compartment.23 Even shallow grooves with only a slightly elevated central cortex strongly correlate to the presence of a septum.5 Ultrasound is also commonly used to guide corticosteroid injections to improve accuracy and effectiveness.6
Figure 7: A 35-year-old female with wrist pain for months. (7A) A short-axis ultrasound image of the first extensor compartment demonstrates a mildly echogenic septum (asterisk) separating the EPB and APL tendons. The echogenic radial cortex demonstrates a double groove contour (red arrowheads) with a central bony ridge (blue arrowhead). The overlying extensor retinaculum is mildly thickened (arrows). Sequential fat-suppressed proton density-weighted images rotated 90 degrees to match the orientation of the ultrasound demonstrate findings similar to the ultrasound with a double groove (red arrowheads) and central osseous ridge at the attachment of an intertendinous septum (blue arrowheads). In the next distal image, the bony ridge is more pronounced.
MRI: MRI is often unnecessary for diagnosing DQT, but it offers a more detailed view of soft tissues and can help visualize characteristic features of DQT. Fluid-sensitive imaging sequences show peritendinous edema surrounding the first extensor compartment tendons and extensor retinaculum. Tenosynovitis is identified as hyperintense fluid accumulation within the tendon sheaths on fluid-sensitive sequences. The thickened tendon sheath and tendon and surrounding edema are visible on MRI (Figure 8). Subjacent reactive marrow edema can also be seen (Figure 9). Although the accuracy of MRI has not been fully documented, it can identify multiple tendon slips and septations by utilizing the characteristic findings established by ultrasound.33 Visualization of a thin hypointense septation is easier with tenosynovitis and fluid distending the tendon sheaths, but it can be challenging. A double-groove appearance and a bony ridge of the radius floor of the first compartment can suggest the presence of a septum.
Figure 8: A 52-year-old female with right wrist pain for 5 months after a fall presented to evaluate for scaphoid fracture. T1-weighted axial (8A), fat-suppressed proton density-weighted axial (8B), and fat-suppressed proton density-weighted coronal images demonstrate a thickened edematous extensor retinaculum (arrowheads) with overlying subcutaneous edema and a thickened APL.
Figure 9: A 33-year-old female with radial-sided wrist pain for the evaluation of de Quervain’s tenosynovitis. Axial fat-suppressed proton density-weighted axial images at the proximal (9A) and mid-portion (9B) of the first extensor compartment demonstrate tenosynovitis with peritendinous fluid signal (arrows), overlying extensor retinacular and soft tissue edema, and marrow edema in the subjacent radius (arrowheads).
Treatment
Conservative management is preferred as the initial treatment, and treatment options may include any combination of activity modification, splinting, nonsteroidal anti-inflammatory drugs, and physical therapy. However, corticosteroid injections into the tendon sheath alone or combined with other conservative options are considered the most effective non-surgical treatment for DQT. Injections are often performed with ultrasound guidance, which improves their effectiveness by allowing precise needle placement and can assist in identifying a dividing septum, which may necessitate separate injections into each subcompartment. Studies have shown success rates for corticosteriod injection ranging from 58 % to 93%.34,35,36
Surgery is typically reserved for cases that fail to respond to conservative treatment. Often, the presence of a septum is a factor in failed conservative approaches. The procedure aims to decompress the first dorsal compartment, relieving pressure on the tendons. The traditional surgical approach involves releasing the extensor retinaculum overlying the tendons. Minimally invasive techniques, such as endoscopic release, have also been described, potentially offering advantages such as smaller incisions and faster recovery times. Recognition of subcompartmentalization is essential. Failure to recognize and release both subcompartments may result in inadequate decompression and poor outcomes.7
Differential Diagnosis
MRI is most beneficial in evaluating patients with subtle or nonspecific clinical presentations or when conservative treatment has failed. MRI can readily image the adjacent bone and soft tissues and identify other conditions that may present with symptoms similar to DQT.
Fig 10: 3D rendering of the dorsum of the distal forearm and wrist demonstrates the locations of de Quervain’s tenosynovitis (blue), proximal intersection syndrome (green), and distal intersection syndrome (yellow).
Proximal Intersection Syndrome is tenosynovitis at the point where the tendons of the first dorsal compartment (APL and EPB) cross over the ECRL and ECRB tendons (Figure 10). Repetitive extension and flexion of the wrist is believed to increase friction between the first and second extensor compartment tendons, which are relatively tightly bound by the investing fascia of the forearm. Occupations at risk include carpenters, supermarket checkout clerks, and repetitive diggers. Sport and hobby-related risk factors include rowing (oarsmen’s wrist), skiing, racket sports, and horseback riding. The resulting pain, swelling, and inflammation involve the distal dorsal radial forearm. Patients with proximal intersection syndrome typically experience pain and swelling 4-6 cm proximal to the radiocarpal joint, which is more proximal compared to the typical location of pain in DQT. MRI reveals tendon thickening, peritendinous edema, and fluid centered at the intersection of the first and second compartment tendons (Figure 11). Longstanding cases may result in subjacent periosteal edema and periosteal bone formation.37,38,39
Figure 11: 21-year-old female with pain and swelling over the distal forearm. Coronal fat-suppressed proton density-weighted images at the dorsal aspect of the distal forearm (A) and the mid-radius (B) demonstrate edema in the typical location proximal to the wrist. Edema (arrowheads) is interposed and adjacent to the EPB and APL muscles before crossing the ECRB and ECRL tendons on the dorsal image(A). Edema and fluid signal are seen at the intersection of the first and second extensor compartment tendons (B). The cephalic vein is indicated (CV). Axial fat-suppressed proton density-weighted (C) and T1-weighted (D) images better delineate the involved tendons and the surrounding inflammation.
Distal Intersection Syndrome occurs where the EPL crosses dorsal to the extensor carpi radialis longus (ECRL) and extensor carpi radialis brevis (ECRB) tendons (Figure 10). Proposed mechanisms include stenosis from the overlying extensor retinaculum and intrinsic stenosing tenosynovitis. Communication is typically present between these tendon sheaths, and tenosynovitis may secondarily spread from one compartment to the other. These patients present with radial-sided dorsal wrist pain. The fluid-sensitive MRI series demonstrate the involved tendons, which may show thickening of the tendon sheaths, tenosynovitis, edema, and abnormal intrasubstance tendon signal (Figure 12).22,40,41
Figure 12: 21-year-old female with dorsal radial pain and swelling with clinical concern of de Quervain’s tenosynovitis. A fat-suppressed proton density-weighted coronal (12A) and axial (12B) images demonstrate tenosynovitis involving the tendon sheaths of the extensor carpi radialis brevis (ECRB) and extensor carpi radialis longus (ECRL) tendons and the crossing extensor pollicis longus (EPL) compatible with a distal intersection syndrome.
Fracture: Fractures of the radial styloid and scaphoid can cause pain and tenderness in the anatomical snuffbox, which is bound by the EPL along the ulnar aspect and the EPB radially. DQT may present as tenderness in this region as well. A clinical history of trauma is typical, and the diagnosis can often made by radiographs. Detecting non-displaced fractures can be challenging, and MRI can reveal the underlying osseous pathology (Figures 13 and 14).
Figure 13: 49-year-old female with wrist pain, numbness, and tingling for approximately 1 month after a non-disclosed injury. Coronal T1-weighted (13A) and fat-suppressed proton density-weighted (13B) images demonstrate a non-displaced intra-articular fracture through the radial styloid.
Figure 14: 54-year-old male with tenderness in the anatomic snuffbox after a fall. T1-weighted coronal (14A), fat-suppressed proton density-weighted coronal (B), and T2 FSE sagittal (C) images demonstrate a non-displaced scaphoid waist fracture (arrows) with surrounding edema.
Wartenberg Syndrome occurs when the superficial branch of the radial nerve is compressed, causing pain, numbness, and tingling along the dorsal aspect of the thumb, index finger, and hand. This condition can be mistaken for DQT, as the symptoms often overlap. Wartenburg syndrome is not typically an overuse condition. Because there is usually an apparent cause of superficial radial nerve compression, including focal trauma, tight wristwatches, and handcuffs, MRI is of limited value except in instances where there is a concern for a lesion such as a scar, a collection, or a mass potentially compressing the nerve.
Conclusion
A thorough clinical assessment, with appropriate imaging studies, is crucial for accurately identifying the underlying cause of radial-sided wrist pain and guiding appropriate treatment strategies. A comprehensive patient history and physical examination, including specific provocative maneuvers, are crucial to the initial evaluation of suspected DQT. However, clinical findings alone might not differentiate it from other conditions. MRI can be helpful in challenging cases where the presentation is not straightforward. Ultrasound is particularly helpful in confirming the diagnosis and directing corticosteroid injections in the presence of a dividing septum. Several conditions can present symptoms similar to DQT, making accurate diagnosis crucial for effective management. In these cases, magnetic resonance imaging (MRI) can provide a detailed assessment of the regional anatomy such that the correct diagnosis can be made.
References
- Schmidt, H.-M., & Lanz, U. (2004). Distal Forearm, Wrist, and Dorsum of the Hand. In H.-M. Schmidt, & U. Lanz, Surgical Anatomy of the Hand (pp. 479-487). New York: Thieme. ↩
- Elliott, D. (2021). The Extensor Tendons. In A. Gupta, & M. Tamai, The Grasping Hand (pp. 347-348). New York: Thieme. ↩
- Kotzias D, Koutserimpas C, Chrysikos D, et al. (July 19, 2023) Clinical Considerations of First Extensor Wrist Compartment (FEWC) Variants and De Quervain’s Disease: A Review Study. Cureus 15(7): e42124. DOI 10.7759/cureus.42124 ↩
- Alemohammad AM, Yazaki N, Morris RP, Buford WL, Viegas SF: Thumb interphalangeal joint extension by the extensor pollicis brevis: association with a subcompartment and de Quervain’s disease. J Hand Surg Am. 2009, 34:719-23. 10.1016/j.jhsa.2008.12.015 ↩
- Lee KH, Kang CN, Lee BG, Jung WS, Kim DY, Lee CH: Ultrasonographic evaluation of the first extensor compartment of the wrist in de Quervain’s disease. J Orthop Sci. 2014, 19:49-54. 10.1007/s00776-013-0481-3 ↩
- Kitridis D, Perdikakis E, Potoupnis M, Pavlidis L, Karagergou E, Givissis P. De Quervain Tendinopathy: Anatomical Prognostic Indicators of Corticosteroid Injection Success. Journal of Personalized Medicine. 2024; 14(9):928. https://doi.org/10.3390/jpm14090928 ↩
- Beutel, B., Doscher, M., & Melone, C. (2018). Prevalence of a Septated First Dorsal Compartment Among Patients With and Without De Quervain Tenosynovitis: An In Vivo Anatomical Study. Hand, 15(3), 1-5. ↩
- Jackson WT, Viegas SF, Coon TM, Stimpson KD, Frogameni AD, Simpson JM. Anatomical variations in the first extensor compartment of the wrist: a clinical and anatomical study. J Bone Joint Surg Am 1986;68(6): 923–926. ↩
- Robinson, L., & Shatford, R. (2021). Anatomy of the Forearm. In A. Gupta, & M. Tamai, The Grasping Hand Structural and Functional Anatomy of the Hand and Upper Extremity (pp. 187-209). New York: Thieme. ↩
- Kutsumi K, Amadio PC, Zhao C, Zobitz ME, An KN. Gliding resistance of the extensor pollicis brevis tendon and abductor pollicis longus tendon within the first dorsal compartment in fixed wrist positions. J Orthop Res. 2005;23(2):243-248. ↩
- Thwin SS, Fazlin F, Than M. Multiple variations of the tendons of the anatomical snuffbox. Singapore Med J. 2014;55(1):37-40. ↩
- Kulthanan T, Chareonwat B. Variations in abductor pollicis longus and extensor pollicis brevis tendons in the Quervain syndrome: a surgical and anatomical study. Scand J Plast Reconstr Surg Hand Surg. 2007;41(1):36-38. ↩
- Ramchandani J, Thakker A, Tharmaraja T. Time to Reconsider Occupation Induced De Quervain’s Tenosynovitis: An Updated Review of Risk Factors. Orthopedic Reviews. 2022;14(3). ↩
- Lee ZH, Stranix JT, Anzai L, Sharma S. Surgical anatomy of the first extensor compartment: A systematic review and comparison of normal cadavers vs. De Quervain syndrome patients. J Plast Reconstr Aesthet Surg. 2017;70(1):127-131. ↩
- Clarke MT, Lyall HA, Grant JW, Matthewson MH: The histopathology of de Quervain’s disease . J Hand Surg Br. 1998, 23:732-4. 10.1016/s0266-7681(98)80085-5 ↩
- Petit Le Manac’h A, Roquelaure Y, Ha C, et al.: Risk factors for de Quervain’s disease in a French working population. Scand J Work Environ Health. 2011, 37:394-401. 10.5271/sjweh.3160 ↩
- Read HS, Hooper G, Davie R: Histological appearances in post-partum de Quervain’s disease . J Hand Surg Br.2000, 25:70-2. 10.1054/jhsb.1999.0308 ↩
- Kuo YL, Hsu CC, Kuo LC, et al.: Inflammation is present in de Quervain disease–correlation study between biochemical and histopathological evaluation. Ann Plast Surg. 2015, 74 Suppl 2:S146-51.10.1097/SAP.0000000000000459 ↩
- Shen PC, Wang PH, Wu PT, Wu KC, Hsieh JL, Jou IM: The estrogen receptor-β expression in De Quervain’s disease. Int J Mol Sci. 2015, 16:26452-62. 10.3390/ijms161125968 ↩
- Hassan, K., Sohn, A., Shi, L., Lee, M., & Wolf, J. (2022, March). De Quervain Tenosynovitis: An Evaluation of the Epidemiology and Utility of Multiple Injections Using a National Database. Journal of Hand Surgery (American), 47, 284.e1-284.e6. ↩
- Schned ES. De Quervain tenosynovitis in pregnant and postpartum women. Obstet Gynecol 1986;68:411-414. ↩
- Anderson SE, Steinbach LS, De Monaco D, et al. “Baby wrist”: MRI of an overuse syndrome in mothers. AJR 2004; 182:719–724 ↩
- Stahl S, Vida D, Meisner C, et al. Systematic review and meta-analysis on the work-related cause of de Quervain tenosynovitis: a critical appraisal of its recognition as an occupational disease. Plast Reconstr Surg. 2013;132(6):1479-1491. ↩
- Kay NR: De Quervain’s disease. Changing pathology or changing perception? . J Hand Surg Br. 2000, 25:65-9.10.1054/jhsb.1999.0277 ↩
- Ashurst JV, Turco DA, Lieb BE. Tenosynovitis caused by texting: an emerging disease. J Am Osteopath Assoc 2010; 110:294–296 ↩
- Goubau JF, Goubau L, Van Tongel A, Van Hoonacker P, Kerckhove D, Berghs B. The wrist hyperflexion and abduction of the thumb (WHAT) test: a more specific and sensitive test to diagnose de Quervain tenosynovitis than the Eichhoff’s Test. Journal of Hand Surgery (European Volume). 2014;39(3):286-292. ↩
- Fakoya A O, Tarzian M, Sabater E L, et al. (April 24, 2023) De Quervain’s Disease: A Discourse on Etiology, Diagnosis, and Treatment. Cureus 15(4): e38079. DOI 10.7759/cureus.38079 ↩
- Meraj, S., Gyftopoulos, S., Nellans, K., Walz, D., & Brown, M. (2017). MRI of the Extensor Tendons of the Wrist. American Journal of Radiology, 209, 1093-1102. ↩
- Rousset P, Vuillemin-Bodaghi V, Laredo J-D, Parlier-Cuau C. Anatomic variations in the first extensor compartment of the wrist: accuracy of US. Radiology. 2010;257:427–33. ↩
- Bianchi S, Martinoli C, de Gautard R, Gaignot C. Ultrasound of the digital flexor system: Normal and pathological findings. J Ultrasound 2007;10(2):85–92. ↩
- Flores, D., Murray, T., & Jacobson, J. (2023). Diagnostic and Interventional US of the Wrist and Hand: Quadrant-based Approach. Radiographics, 43(8), 1-16. ↩
- Choi S-J, Ahn JH, Lee Y-J, Ryu DS, Lee JH, Jung SM, et al. De Quervain disease: US identification of anatomic variations in the first extensor compartment with an emphasis on subcompartmentalization. Radiology. 2011;260:480–6. ↩
- Chang, C., Kheterpal, A., Vicentini, J., & Huang, A. (2017). Variations of anatomy on MRI of the first extensor compartment of the wrist and association with DeQuervain tenosynovitis. Skeletal Radiology, 46, 1047-1056. ↩
- Pensak, M.J.; Bayron, J.; Wolf, J.M. Current Treatment of de Quervain Tendinopathy. J. Hand Surg. Am. 2013, 38, 2247–2249. ↩
- Kazmers, N.H.; Liu, T.C.; Gordon, J.A.; Bozentka, D.J.; Steinberg, D.R.; Gray, B.L. Patient- and Disease-Specific Factors Associated With Operative Management of de Quervain Tendinopathy. J. Hand Surg. Am. 2017, 42, 931.e1–931.e7. ↩
- McDermott, J.D.; Ilyas, A.M.; Nazarian, L.N.; Leinberry, C.F. Ultrasound-Guided Injections for de Quervain’s Tenosynovitis. Clin. Orthop. Relat. Res. 2012, 470, 1925–1931. ↩
- Schmidt, E., Kobayashi, Y., & Gottschalk, A. (2021). It’s Not De Quervain Tenosynovitis- A Diagnosis to Consider Persistent Wrist Pain. Ochsner Journal, 120-122. ↩
- Servi JT. Wrist pain from overuse: detecting and relieving intersection syndrome. Phys Sportsmed. 1997;25(12):41-44. doi: 10.3810/psm.1997.12.1401 ↩
- Mortalla CP, Blanco Caceres BA, Corral JB. Sindrome de la interseccion distal. Una causa poco frecuente de dolor en el antebrazo. Distal intersection syndrome: an unusual cause of forearm pain. Rheumatol Clin. 2020;16(2):128-129.doi: 10.1016/j.reumae.2018.02.002 ↩
- Idler RS, Strickland JW, Creighton JJ Jr. Intersection syndrome. Indiana Med 1990; 83:658–659 ↩
- Parellada AJ, Gopez AG, Morrison WB, et al. Distal intersection tenosynovitis of the wrist: a lesser known extensor tendinopathy with characteristic MR features. Skeletal Radiol 2007; 36:203–208 ↩


































